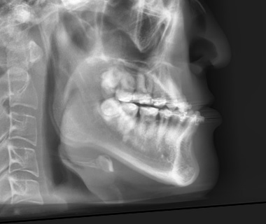
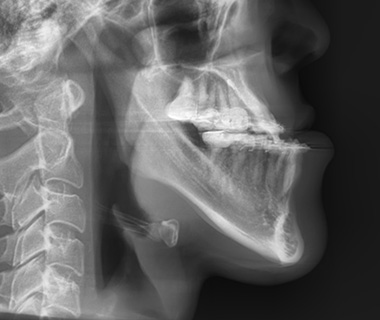
턱이 길고 커 보이는 주걱턱
자연스럽고 아름다운 턱선을 찾아드립니다
개인정보 수집 및 이용 동의
더바른윤곽 구강악안면외과는 상담 서비스 제공을 위해 아래와 같이 개인정보를 수집·이용합니다.
| 수집항목 | 이름, 전화번호, 상담항목 |
|---|---|
| 수집목적 | 상담 서비스 제공 및 상담 예약 안내 |
| 보유기간 | 수집일로부터 1년 또는 동의 철회 시까지 |
※ 개인정보 수집 및 이용에 대한 동의를 거부할 권리가 있으며, 동의 거부 시 상담 서비스 이용이 제한될 수 있습니다.
주걱턱
Mandibular Prognathism
주걱턱이 있으면 턱이 과도하게 길어 보이고 얼굴 아래쪽이 무겁고 커 보이는 인상을 줍니다
* 더바른윤곽은 구강악안면외과 실제환자 사례입니다. 치료 전 상태를 설명하기 위한 자료로, 수술 결과나 치료 효과를 보장하지 않습니다
주걱턱은 단순히 턱 끝의 문제가 아니라
부정교합을 동반하는 턱 전체의 문제일 수 있습니다
턱 전체의 돌출
턱 끝의 돌출
주걱턱이란?
아래턱이 위턱보다 앞으로 나와 보이거나 옆모습에서 턱이 길고 강하게 돌출된 상태를 주걱턱이라 합니다.
이러한 모습은 부정교합을 동반하는 상하악의 길이, 위치 관계 이상(골격성 3급 부정교합) 혹은 턱끝의 과도한 발달로 인해 나타납니다.
주걱턱의 유형
턱 전체의 문제로 인한 주걱턱
- 턱 끝이 아니라 위턱·아래턱의 구조적 불균형이 원인
- 반대교합, 하관 과대, 얼굴 비율 문제 동반 가능
- 턱끝 수술만으로는 한계가 있음
턱끝 부위만 돌출된 주걱턱
- 악골 구조는 비교적 정상
- 턱끝의 길이돌출로 하관이 커 보이는 경우
- 기능 문제는 크지 않은 경우가 많음
주걱턱은 턱 전체의 문제로 인한 경우
반드시 턱교정 수술이 필요합니다
유형별 주걱턱 수술방법
1. 턱교정 수술
- 양악 수술
위턱과 아래턱의 위치 관계를 함께 조절하여 턱이 길고 하관이 커 보이는 인상을 근본적으로 개선하고 교합과 얼굴 균형을 동시에 회복시키는 수술
- 하악 수술
아래턱의 과도한 전방 위치가 주원인인 경우나 교합 문제의 원인이 아래턱에만 있는 경우 얼굴 비율을 고려해 제한적으로 시행하는 수술
2. 턱 끝 수술
골격이상에 의한 부정교합이 없는 경우에만 적합한 수술 방법으로 턱끝의 길이·각도·돌출만 조절하는 수술
겉으로는 비슷한 주걱턱처럼 보이지만 원인은 서로 달랐습니다
주걱턱 치료의 차이는
수술 결과보다 진단에서 먼저 갈립니다
정확한 분류가 결과의 차이를 만듭니다
BEFORE & AFTER
더바른윤곽 구강악안면외과의 전후사진을 확인해 보세요
양악 수술 아래턱만 하면 안 되는 이유
🚨양악 수술은 절대 엄마 몰래 수술하지 마세요❗❗
양악 수술 위험하다고 생각하는 사람 제발 보세요.. 🙏🙏
턱이 길고 커 보이는 주걱턱


